- Розібратися з болем у ключиці: Що це і як зісти їй ради?
- Чому з’являється біль у ключиці?
- Що робити, коли болить?
- Кілька порад для швидкого полегшення
- Коли час бити тривогу?
- Діагностика: що там у середині?
- Рентген
- Магнітно-резонансна томографія (МРТ)
- Лікування: як повернути ключицю в норму
- Медикаменти
- Фізіотерапія
- Операція
- Профілактика: не дайте болю повернутись
- Заключення: слухайте своє тіло
Розібратися з болем у ключиці: Що це і як зісти їй ради?
Біль у ключиці — це не просто незручність, це може бути сигналом про серйозні проблеми. Хтось відчуває це раптово, а інші можуть боротися з цим тривало. Так чи інакше, треба зрозуміти, звідки ноги ростуть у цієї болячки.
Чому з’являється біль у ключиці?

Отже, чому ж біль у ключиці взагалі може з’явитися? Аналізуємо глибше. Ось кілька причин, з якими вам можуть трапитися труднощі:
- Травма: Удар по ключиці — це один зі сценаріїв. Ніколи не знаєш, де приземлишся, коли падаєш.
- Перенапруження: Підйом важких речей? Так, це може мати свої наслідки.
- Перелом: Іноді лише маленька тріщина може створити велике горе.
- Вивих: Оце так халепа! Кістка виходить з місця, і привіт, неприємності.
- Захворювання: Артрит, остеопороз та інші друзі можуть бути малопомітними, але грізними ворогами.
Що робити, коли болить?
Хочеться поспіхом вирішити ці проблеми? Спочатку треба розібратися, чи ваше недомагання вимагає негайної уваги. Давайте розкладемо якими є можливі кроки щодо зняття болю в різних ситуаціях.
Кілька порад для швидкого полегшення
- Відпочинок: Ніяких вагарів чи натружень — час вхопити трохи перепочинку.
- Лід: Пакет злідженим може допомогти зняти запалення. Але обережно, не переохолоджуйте.
- Підтримка: Пов’язка чи ортез можуть допомогти стабілізувати і знизити навантаження на кістку.
Звичайно, якщо біль тримає, йдіть до лікаря. Він не тільки випише якась мазь чи таблетку, але й дасть сто пудово точну діагностику.
Коли час бити тривогу?
Іноді біль просто ігнорувати не можна. Шукайте допомоги, якщо:
- Біль не проходить: Уже кілька днів і ситуація тільки гіршає — це дзвіночок.
- Проблеми з рухом: Не можете нормально підняти руку? Це жахливо обмежує вашу свободу.
- Набряк: Помітні пухирці чи синці теж не варто ігнорувати.
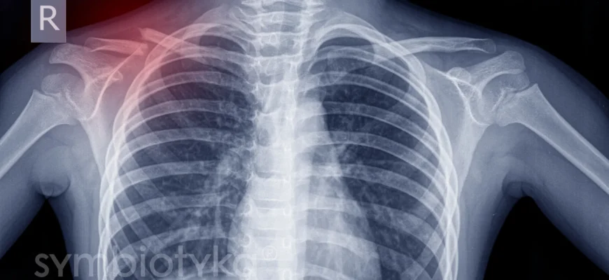
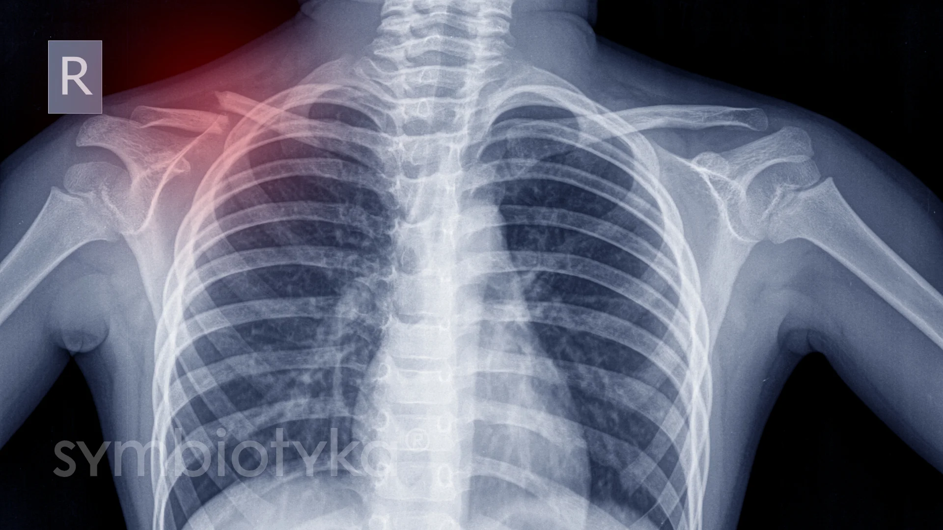
Діагностика: що там у середині?
Без рентгену, КТ чи МРТ іноді важко зрозуміти, що саме коїться в середині. Лікарі мають свій арсенал інструментів. Не бійтесь пройти через ці складнощі — це ваш крок до одужання.
Рентген
Класика жанру. Швидко і надійно допоможе виявити переломи чи вивихи.
Магнітно-резонансна томографія (МРТ)
Цей апарат може похвалитися своєю високою чутливістю та дозволяє заглянути навіть туди, куди ваше око не бачить. Біда в тому, що не завжди цей варіант доступний простим смертним.
Лікування: як повернути ключицю в норму
Не всім підходить однакове лікування. Іноді достатньо ледве прикладеного льоду, а деколи — серйознішого підходу. Головне — не поспішайте з висновками і пройдіться по можливих варіантах:
Медикаменти
- Знеболення: Ібупрофен чи парацетамол — не найгірший вибір на першому етапі. Але не захоплюйтесь.
- Противозапальні: Деякі мазі можуть бути більш ефективними, ніж просто таблетки.
Фізіотерапія
Взялися за справу спеціалісти? Чекайте на комплексний підхід з масажами, вправами та, можливо, навіть ультразвуком.
Операція
Коли вже нічого не залишається? Інколи тільки лікар може виправити пошкоджене хірургічно. Ключ до успіху — не зволікати з рішенням. Сучасна медицина на вашому боці.
Профілактика: не дайте болю повернутись
Дотримуйтеся простих правил, щоб не стати частою жертвою болі:
- Зміцнення м’язів. Регулярні вправи можуть стати вашим союзником.
- Слідкуйте за осанкою. Ключ до здоров’я: рівна спина і правильна осанка.
- Контроль за вагою. Менше навантаження на кістки.
Заключення: слухайте своє тіло
Отже, біль у ключиці може бути наслідком безлічі факторів. Уважність до свого тіла, адекватна реакція на симптоми та своєчасна увага медичних спеціалістів здатні повернути вас до нормального життя. Будьте в тренді, любіть себе та стежте за здоров’ям. Це важливо!







