Життя після заміни кульшового суглоба: відновлення та поради лікарів

Життя після заміни кульшового суглоба: відновлення та поради лікарів Суспільство

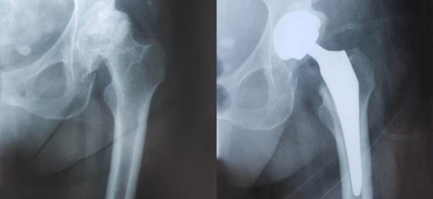
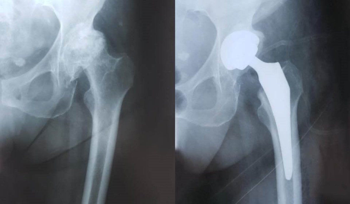
Життя після операції по заміні суглоба кульшового: нова реальність

Життя після операції по заміні суглоба кульшового — наче з нової сторінки. Ти прокидаєшся з очікуваннями і трохи з острахом. Як воно буде? Шов на тілі та в голові думки. Відчуття змішані. Але життя триває.

Очікування від операції

Коли ти вирішуєшся на заміну суглоба кульшового, перед тобою відкривається зовсім новий світ. Біль? Він щезне. Надії? Вони стають більш реальними. Перспективи? Бляшанки з-під кока-коли на горизонті. Проте і страх нікуди не зникає. Боязнь невідомого. І післяопераційні голоси.

  • Відновлення після заміни кульшового суглоба
  • Процес адаптації
  • Пригода з реабілітацією

Перші кроки: відновлення після заміни кульшового суглоба

Отже, коли ти прокинешся після операції, світ здасться трохи іншим. Менше болю, більше гіпсу чи бинтів. Але у тебе є план.

День перший: важкий, але можливий

Не одразу, але зрештою прокидаєшся. Навколо тебе все нове, включаючи враження. У перший день після операції ти ще під впливом наркозу, але вже з новою перспективою. Як воно? Навіть не знаю, але щось змінили…

Перші кроки — це завжди шанс. Ось твій ранок на лікарняному ліжку. Можливо, з чашкою жахливої кави з молоком, але з надією. Біль змінюється на щось інше — може, незвичне, іноземне, як чужа мова. Але ти готовий.

Наступні дні

  1. День другий — початок відновлення.
  2. День третій — підтримка рідних і близьких завжди поруч.
  3. День четвертий — перше фізично болісне заняття.

Оце майже як танці на нових ногах. Поступова робота з фізіотерапевтом і відчуття, що твоє тіло змінюється щодня. Болить? Так. Але це інший біль — не той, що вчора. Не втомлюйся. Просто ніколи не здавайся.

Реабілітація: пригода на довгий час

Назвати це викликом недостатньо. Реабілітація після операції — нове життя з іншим режимом, іншим розкладом. Встаєш раніше, лягаєш пізно. Метелик, що розгортає крила…

Щоденні вправи

Вони обов’язкові. Ні, без них ніяк. Це так і називають — твоя нова робота. Знайди те, що мотивує, той список справ, що не залишить тобі вибору, окрім як рухатися.

  • Вправи для зміцнення м’язів
  • М’язова пам’ять теж працює!
  • Збереження гнучкості — це нелегко, але важливо

Поради для успішної реабілітації

Знайди свій ритм. Навчися слухати себе. Сплануй свій розклад так, щоб заряджатися позитивом кожного дня. І головне, знайди свій власний спосіб бути щасливим у новій шкірі. З їхніми правилами, але твоїм стилем.

Звуки нової реальності

Отже, ти вже третій тиждень на нових сухожиллях. Світ уже пахне кращою кавою, і навіть дощове небо за вікном здається не таким сірим. Життя починає отримувати насиченість, як фарби Вінсента Ван Гога. Це щось більше, ніж просто процес…

Великі та маленькі досягнення

Перший раз, коли дійшов до кухні без палиці. Перший раз, коли зміг прогулятися із собакою. Все варте того. Це вже не марафон, це ціле життя. Бо ти живий, і саме це має значення.

Столик для щоденних перемог:

Понеділок Вівторок Середа
Долав біль на прогулянці Зміг самостійно встати Провів час із сім’єю
Підняв ногу без допомоги Пройшов 100 метрів Посмішка на обличчі

Починаємо знову

І ось ти вже рік від моменту заміни суглоба кульшового. Як змінилося життя? Як змінилися ти? Це ти краще знаєш. Твій шлях ще не закінчився. Саме життя вже не триватиме без змін.

І хоч світ здається іншим, загалом, він просто став твоїм. Ти робиш перші кроки знову, якби це не звучало дивно. Тепер з кожним днем стає легше. Нарешті ти сам, але оновлений. І головне — з неутамним бажанням жити та рухатися вперед, незалежно від того, на якому етапі ти зараз. Крепко тримайся за цю ідею — і вона триматиме тебе.

Оцініть статтю
36000.com.ua