- Як зняти чутливість зубів в домашніх умовах: базові методи
- Що таке чутливість зубів?
- Причини, які можуть зробити зуби чутливими
- Методи зниження чутливості зубів вдома
- Правильна гігієна порожнини рота
- Домашні полощення для зубів
- Природні засоби для зниження чутливості
- Секрети харчування для здоров’я зубів
- Профілактика: запобігти легше, ніж лікувати
- Звички та поради
Як зняти чутливість зубів в домашніх умовах: базові методи
Ранкова кава, холодний сік, гарячий суп — все це може стати випробуванням, якщо у вас чутливі зуби. Як зняти чутливість зубів в домашніх умовах? Звичайно ж, є способи, і вони більш доступні, ніж ви думаєте. Давайте розкриємо тему трохи детальніше.
Що таке чутливість зубів?
Чутливість зубів — це коли хоча б один ваш зуб реагує на гаряче, холодне, солодке або кисле. Це може бути тимчасовим або постійним відчуттям. Але в будь-якому випадку, відчуття не з найприємніших.
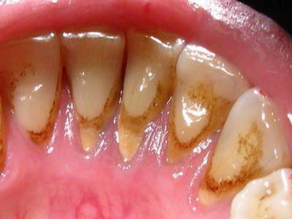
Причини, які можуть зробити зуби чутливими
- Тонкий емалевий шар
- Відкриття корня зуба
- Іноді занадто агресивне чистіння зубів
- Бруксизм (скрегіт зубами)
- Вживання кислих продуктів і напоїв
- Попередні стоматологічні втручання
Методи зниження чутливості зубів вдома
Немає нічого простішого, ніж адаптувати кілька хитрощів у повсякденному житті. Ось що можна спробувати.
Правильна гігієна порожнини рота
- Використовуйте зубну пасту для чутливих зубів — вона містить калій нітрат чи стронцій хлорид, які можуть допомогти.
- М’яка щітка завжди краще: зубна емаль вам подякує.
- Регулярність, але не агресія. Чистити зуби не потрібно як життя залежить від цього: бережіть емаль!
Домашні полощення для зубів
- Сольова вода: Може допомогти зменшити запалення і зміцнити ясна. Полощіть рот 2-3 рази на день.
- Фторидні полощення: Доступні в аптеках. Допомагають зміцнити емаль.
- Зелений чай: Він містить натуральні антиоксиданти, що можуть зменшити чутливість.
Природні засоби для зниження чутливості
Ви прихильник природних методів? Є і для вас поради!
| Засіб | Як використовувати |
|---|---|
| Кокосова олія | Полощіть рот 10 хвилин вранці та в вечері |
| Паста з содою | Змішайте з водою. Нанесіть на зуби, почекайте кілька хвилин, потім промийте. |
| Алое Вера | Нанесіть гель на зуби перед сном. Не споліскуйте. |
| Часник | Розріжте зубчик і натирайте зуби. Не дуже смачно, зате ефективно! |
Секрети харчування для здоров’я зубів
Харчування — важлива частина боротьби з чутливістю зубів. Що ж варто додати до вашого раціону?
- Сир: він допомагає нейтралізувати кислоти в роті.
- Зелень: шпинат і брокколі багаті на вітамін К.
- Морепродукти: омега-3 жирні кислоти можуть зменшити запалення ясен.
- Фрукти та овочі з високим вмістом води: допомагають промити рот і зменшити кислотність.
Профілактика: запобігти легше, ніж лікувати
Запобігання — найкращі ліки. Що робити, щоб чутливість не повернулася?
Звички та поради
- Уникайте травмуючих зуби практик: використання зубів як інструмент — це погана звичка.
- Обмежте споживання кислоти: кислі фрукти та напої можуть пошкодити емаль.
- Регулярні візити до стоматолога: профілактика — це ваш друг!
Такі прості кроки можуть суттєво зменшити ваші неприємні відчуття. Треба тільки почати. Кажу вам, спробуйте, і ви побачите різницю.







