- Скільки потрібно носити брекети: все, що тобі потрібно знати
- Чому ти взагалі їх ставиш?
- Основні причини для встановлення брекетів:
- Тривалість носіння брекетів
- Фактори, що впливають на тривалість:
- Місцеві особливості і нюанси
- Вартість та варіанти оплати
- Твої відчуття vs. реальність
- Як доглядати за брекетами
- Підсумок
Скільки потрібно носити брекети: все, що тобі потрібно знати
Ти, напевно, часто задаєшся питанням: скільки потрібно носити брекети? Це питання хвилює багатьох людей, які вирішили вирівняти свої зуби або мають намір це зробити. Іноді це нескінченна подорож, інколи — швидкоплинна пригода. Давай розглянемо детальніше.
Чому ти взагалі їх ставиш?

Брекети — це не просто приладдя для краси. Вони виправляють прикус, вирівнюють зуби, покращують функцію жування, а ще дарують тобі ту саму, омріяну усмішку. Є багато причин перейти на сторону брекетів, але хто ми, щоб судити? Хіба що знаємо, що вирівняти зуби — річ вартісна.
Основні причини для встановлення брекетів:
- Скупчення зубів
- Кривий прикус
- Функціональні порушення
- Естетичні потреби
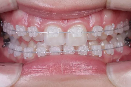
Тривалість носіння брекетів
Ну і найголовніше — скільки ж ті брекети носити? Тут відповідь не така проста, як здається. Все залежить від твоєї ситуації. Стандартна тривалість носіння варіюється від 1,5 до 3 років. Давай розберемось, що впливає на цей термін.
Фактори, що впливають на тривалість:
- Вік: Чим молодший ти, тим швидше процес адаптації. Але й дорослим не варто засмучуватись.
- Проблематика: Хтось витрачає роки на вирівнювання складних випадків, хтось — кілька місяців.
- Тип брекетів: Чудовий вибір — від традиційних металевих до менш помітних керамічних чи лінгвальних.
- Твоя прихильність: Нагадую, дядьку, слухай ортодонта, і буде тобі щастя.
| Тип Брекетів | Тривалість Носіння |
|---|---|
| Металеві | 1,5 – 3 роки |
| Керамічні | 1,5 – 3 роки |
| Лінгвальні | 2 – 4 роки |
Місцеві особливості і нюанси
Є город? Тобі пощастило. Ортодонтичні послуги можуть сильно варіюватися залежно від регіону. У великих містах більше опцій, у менших — щасливчикам доступні досвідчені ортодонти. Досліджуй можливості, порівняй ціни.
Вартість та варіанти оплати
За грошима нині дорого, ясно, але іноді доводиться інвестувати в щось більше. Усі знижки, варіанти оплати — будь ласка, не сутулься з цього приводу.
Твої відчуття vs. реальність
Спочатку брекети можуть здаватися дивними, але це тимчасово! Практично так, як нові черевики, котрі натирають. Саме тому не панікуй, якщо вони відразу видаються незручними. Це може довго не бути, але звичка прийде.
Як доглядати за брекетами
Пам’ятай, що чистота — запорука твого здоров’я. Звичайна щітка вже не зовсім друг, доки на губах брекети. Спеціальні ортодонтичні щітки, зубні нитки, ополіскувачі — все це тепер твої друзі. Не хочеться відвідувати ще й терапевта через карієс, правда?
Підсумок
Брекети — це не тільки про зуби. Це також про самодисципліну та терпіння. Врешті-решт, як і більшість гарних речей, твоя посвята буде окуплена прекрасною усмішкою, яка залишиться з тобою на все життя.
Отож, скільки потрібно носити брекети? Все індивідуально. Але з належним рівнем підготовки, відданості і, звичайно, вмінням пристосовуватися, ця подорож стане більш ніж вартою.







